For emergency cases: 050 373 4132 Monday - Sunday : 9:00am - 8:00pm

Restore Your Smile
with Dental Crown & Bridge
Limited Time Offer!
@450 AED

Enhance your bite and smile with strong, natural-looking
Dental Crown & Bridge treatment in Dubai.
Cosmocare Medical Center

Dental Crown & Bridge Treatment

Dental Crown and Bridge Cosmocare Dubai

What is Dental Crown & Bridge?

Dental Crown and Bridge treatment is a highly effective restorative procedure designed to repair damaged teeth and replace missing ones. Crowns cover and protect weakened or fractured teeth, while bridges fill gaps caused by missing teeth, restoring both function and appearance.

Performed under expert supervision, Dental Crown and Bridge treatment is minimally invasive and suitable for most adults. It helps prevent further dental complications, improves bite alignment, and enhances overall oral functionality.

Who Should Consider Dental Crown & Bridge?

Dental Crown and Bridge treatments are recommended for individuals with damaged, decayed, or missing teeth, or those seeking to improve the aesthetics and strength of their smile. This procedure is ideal for anyone wanting a reliable, long-lasting dental restoration solution.

  • With proper care and regular dental check-ups, your crowns and bridges can last many years.
  • Provides a healthy, natural-looking smile.
  • Boosts your confidence and overall oral health.
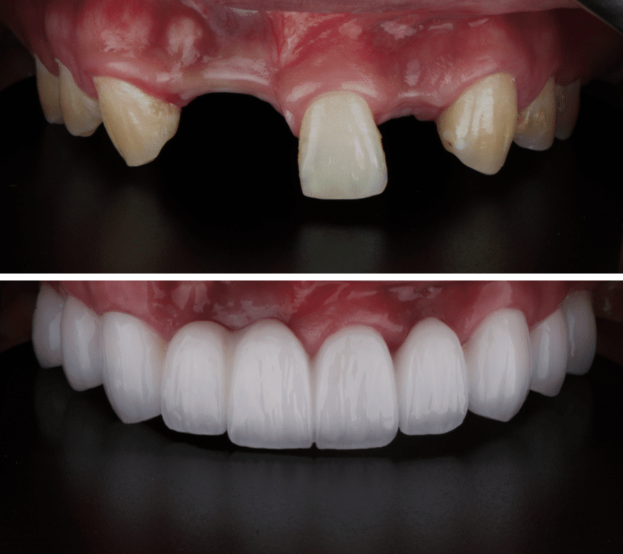
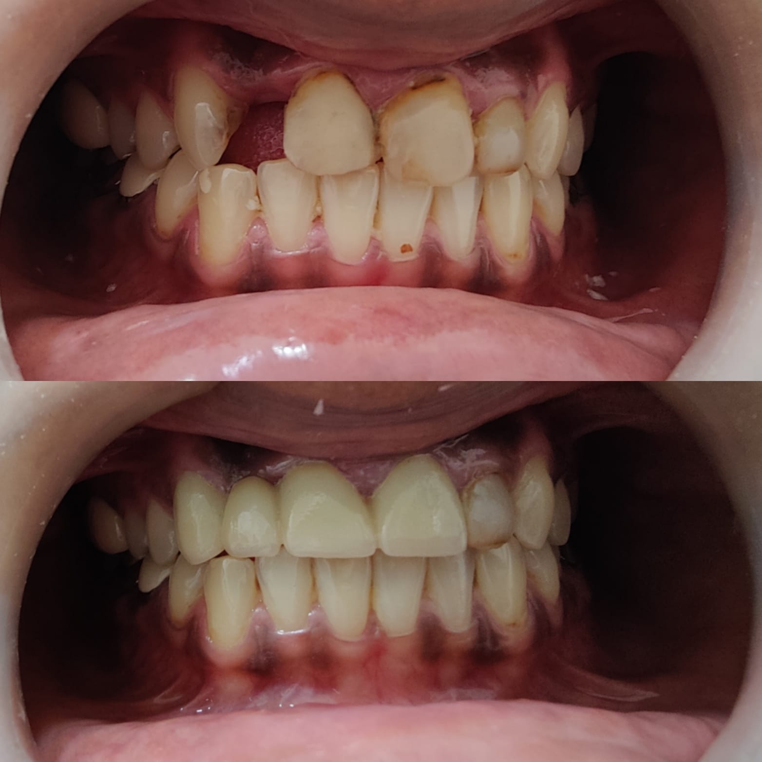
Dental Crown & Bridge

Before and After

Dental Crown & Bridge Before and After Dental Crown & Bridge Before and After Dental Crown & Bridge Before and After Dental Crown & Bridge Before and After
Cosmocare Medical Center

Why Choose Us

blog1
blog1
blog1
Meet Our Dentist

Dr. Lavanya George

veneers specialist appointment

Dr. Lavanya George graduated from Dr. M.G.R Medical University Chennai, Tamil Nadu, India in the year 2000. She has worked in Chennai and Dubai as General Dentist since then she has extensive experience in Preventive, Restorative, and Aesthetic Dentistry.

Highly experienced dentist Over 10 Years Practice, has helped hundreds of patients achieve the confidence they deserve through customized treatments.

Dedicated dental professional with proficiency in and Empathetic communication with patients and a Commitment to enhancing patient care. Excellence in Providing all types of dental work from cosmetic Dentistry to Extractions, Restorations, Root canal treatments, Dental implants, Minor surgeries and Gum treatments along with Teeth whitening through Innovative dental solutions and continuous Professional development

  • Expert in comprehensive dental care for all age groups
  • Skilled in preventive, restorative, and cosmetic dentistry
  • Utilized advanced technology for precise diagnostics
  • Trained in the latest dental techniques and innovations
  • Dr. Lavanya George graduated from Dr. M.G.R Medical University Chennai, Tamil Nadu, India in the year 2000. And a masters degree from university of London.
Contact us

Contact us for any dental
treatment